(CNA) More than 130 medical professionals and scientists in Colorado have signed a letter in support of Proposition 115, a ballot measure seeking to ban abortion after 22 weeks of pregnancy.
“As Healthcare professionals we are totally aware of the science of human development. The humanity of a 22-week fetus is apparent to each of us. There can be no doubt that the 22-week fetus is fully alive and fully human,” the letter reads.
Colorado currently has no laws regulating late-term abortion, either restricting the procedure or explicitly protecting it. As a result, abortions can take place up until birth.
[Click here to subscribe to Pregnancy Help News!]
This November, Proposition 115 will ask voters if they want to ban abortion in the state after 22 weeks of pregnancy, unless a mother’s life is threatened. If the ballot measure passes, doctors would face a three-year suspension of their license for performing or attempting to perform an abortion. Women would not be charged with seeking or obtaining an abortion.
More than 150,000 people from across Colorado signed a petition to place the initiative on the upcoming ballot.
In their letter, released last week, the 134 health care professionals and scientists outlined facts of fetal development that illustrate the humanity of an unborn baby at 22 weeks.
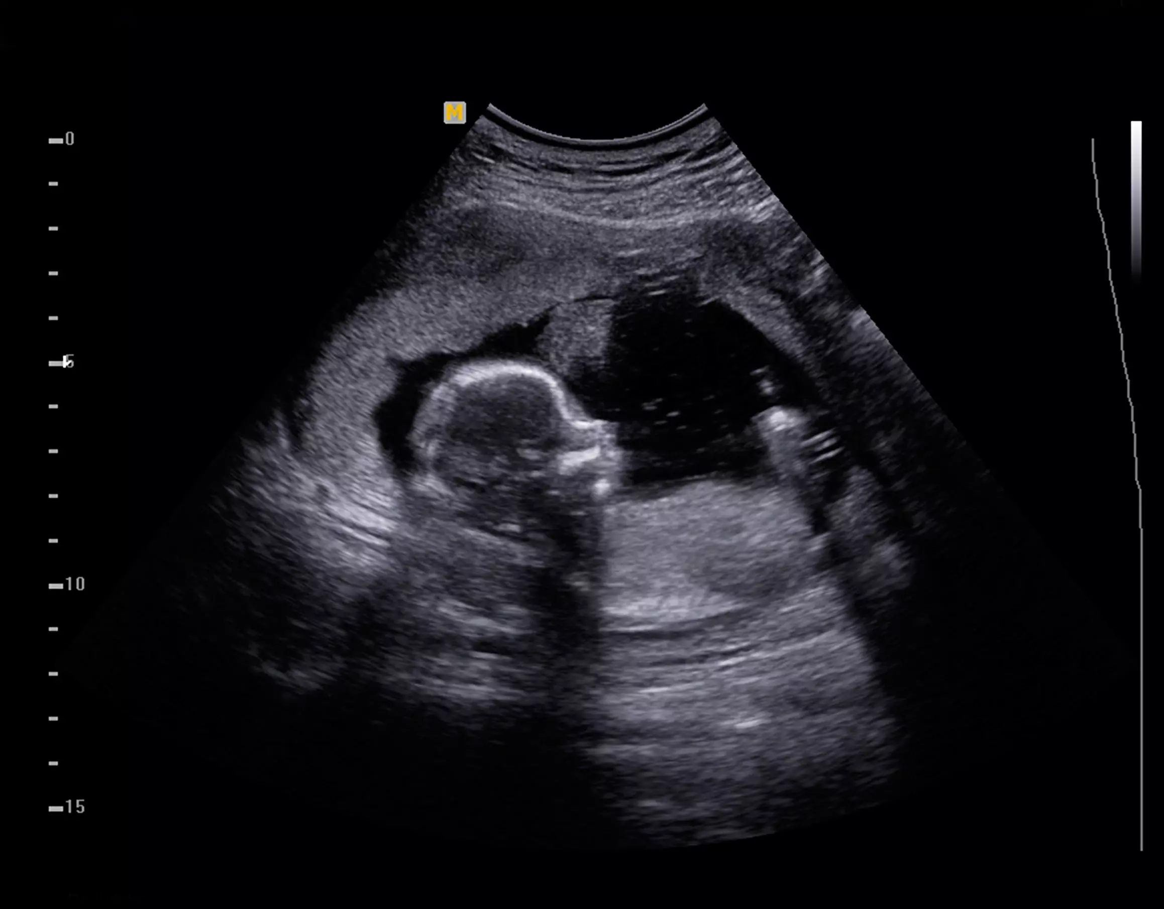
Babies at this age may react to their mother’s touch, experience pain, and demonstrate a preference for their mother’s voice, as well as for musical pieces to which they have been exposed. Children at this age may even exhibit social interaction with a twin in utero.
Advances in neonatal medicine mean that babies born at 22 weeks are often able to survive, the signers of the letter said. They noted that some medical centers in the U.S. have a 70% survival rate for premature babies born at this age.
A fetus can also undergo surgery, and is treated as a separate and distinct patient from the mother, the doctors and scientists noted, adding, “Therefore, they should be treated as individuals by Colorado law.”
“With advances in medical science, it has become obvious that the fetus is much more than ‘just pregnancy tissue’, as some would claim. There can be no equivocation that the fetus is a living, learning and actively participating human being,” they stressed. “Every one of these lives has inherent value and dignity. They deserve to be embraced and protected by the citizens of Colorado, as equal members of our society.”
The doctors and scientists recognized the difficulties some pregnant women face. Rather than abortion, they said, these women should be offered a robust support system, through both public and private venues. They encouraged adoption, perinatal hospice programs, and housing for pregnant women.
The signers of the letter applauded the efforts of both public and faith-based pregnancy resource centers, including the Caring Pregnancy Resource Center of Northeast Colorado, Little Flower Maternity Home, Let Them Live, Alternatives Pregnancy Center, and Marisol Health.
Tweet This: The signers of the letter supporting Proposition 115 applauded the efforts of both public and faith-based pregnancy resource centers
“We stand in solidarity with all those who work privately and publicly to support women during their pregnancies, especially those women who face difficult circumstances or challenges during their pregnancies,” they said.
Editor's note: This article was published by Catholic News Agency and is reprinted with permission.



