An unborn child’s life is as dramatic as any series you will watch on cable television
(National Right to Life) The reality of the hidden life of the unborn child can pop up in the least likely of places.
I happened to be watching a “reality show” known for its contentious female friendships when I was surprised to see one of the leading ladies show up at an obstetrician’s office.
They suspected she was pregnant after having suffered the devastation of a miscarriage. She very much wanted a “rainbow baby” to bring hope and healing into her life.
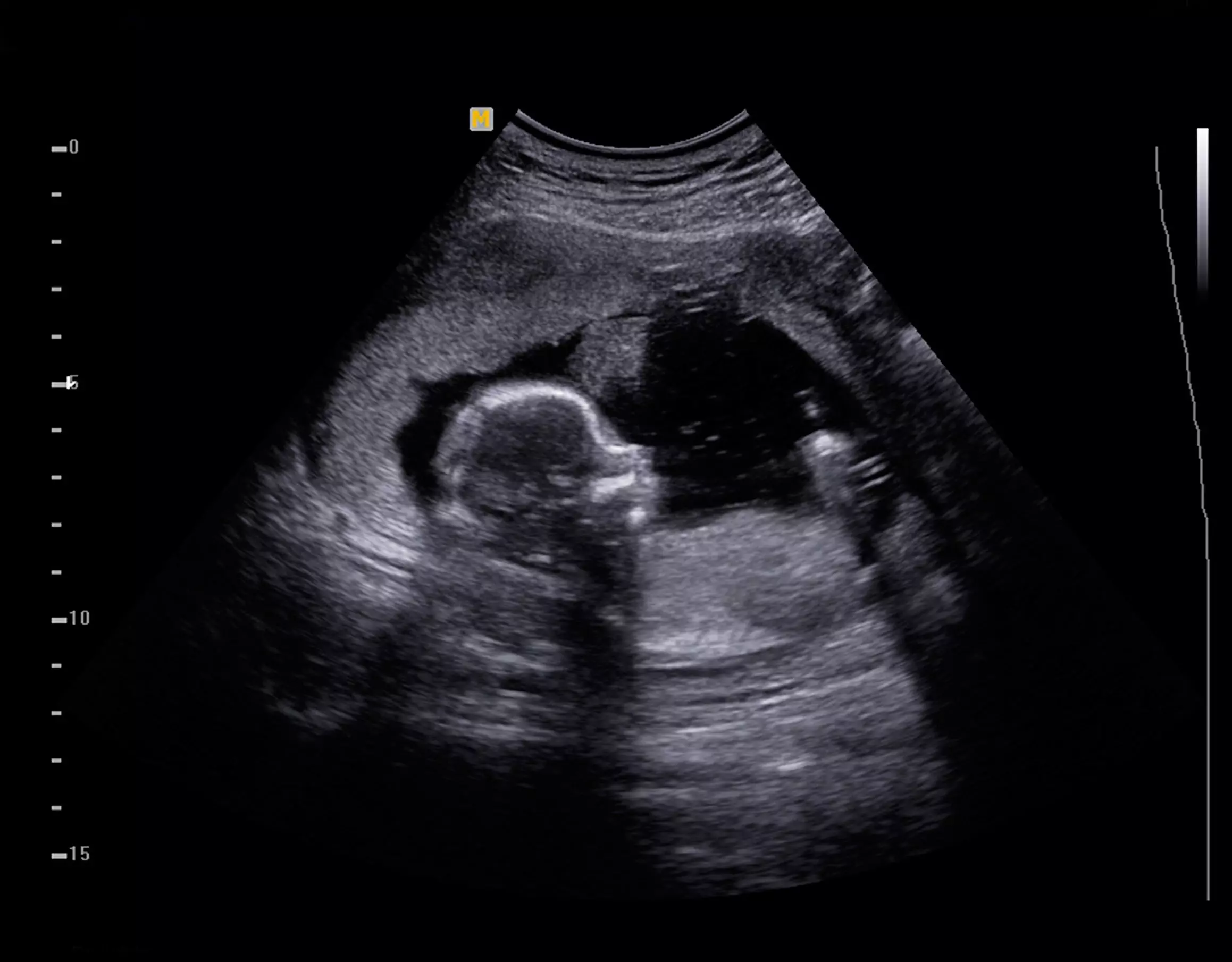
Sure enough, the ob/gyn office confirmed the pregnancy, in all its glory, in the ultrasound image that appeared on the screen. The mother was overcome by emotion at the portrait of personhood before her, very early in the first trimester of pregnancy.
[Click here to subscribe to Pregnancy Help News!]
She was also enamored by the heartbeat that was clearly detectable in the preborn baby’s first six weeks of life in the womb.
As a viewer, I felt pure joy at this scene—a mother and father seeing their beloved child for the first time. The image was to be the first in the baby’s scrapbook.
The development of the child in utero is the ultimate reality show. The heart starts pulsating at a mere 24 days after conception; brain waves can be detected 43 days after the union of egg and sperm.
The life of an unborn child is as dramatic as any series you will watch on cable television. It is intense in its beauty and amazing in its grandeur.
Those who work in the abortion industry and their advocates in Congress and elsewhere are simply denying reality when they fail to acknowledge the humanity of the unborn child. They are also denying science and the basic biological fact that life begins at fertilization.
But in the end, the ultrasound image carries with it a dignity and grace which cannot be denied. Life bursts from the screen with all its possibility and promise.
Tweet This: The ultrasound image carries w/it a dignity & grace which cannot be denied. Life bursts from the screen w/all its possibility & promise.
When it comes to the cause of life, reality is, indeed, on our side.
Editor's note: Maria V. Gallagher is legislative director of the Pennsylvania Pro-Life Federation. This article was published at National Right to Lie News and is reprinted with permission.



